Саратовские медики спасли 20-летнюю девушку после инсульта
В Саратове 20-летняя девушка перестала понимать речь, не могла говорить и потеряла подвижность одной стороны тела. Уже через два часа после начала приступа ее доставили в больницу. К приезду "скорой" в больнице все было готово к экстренному вмешательству.
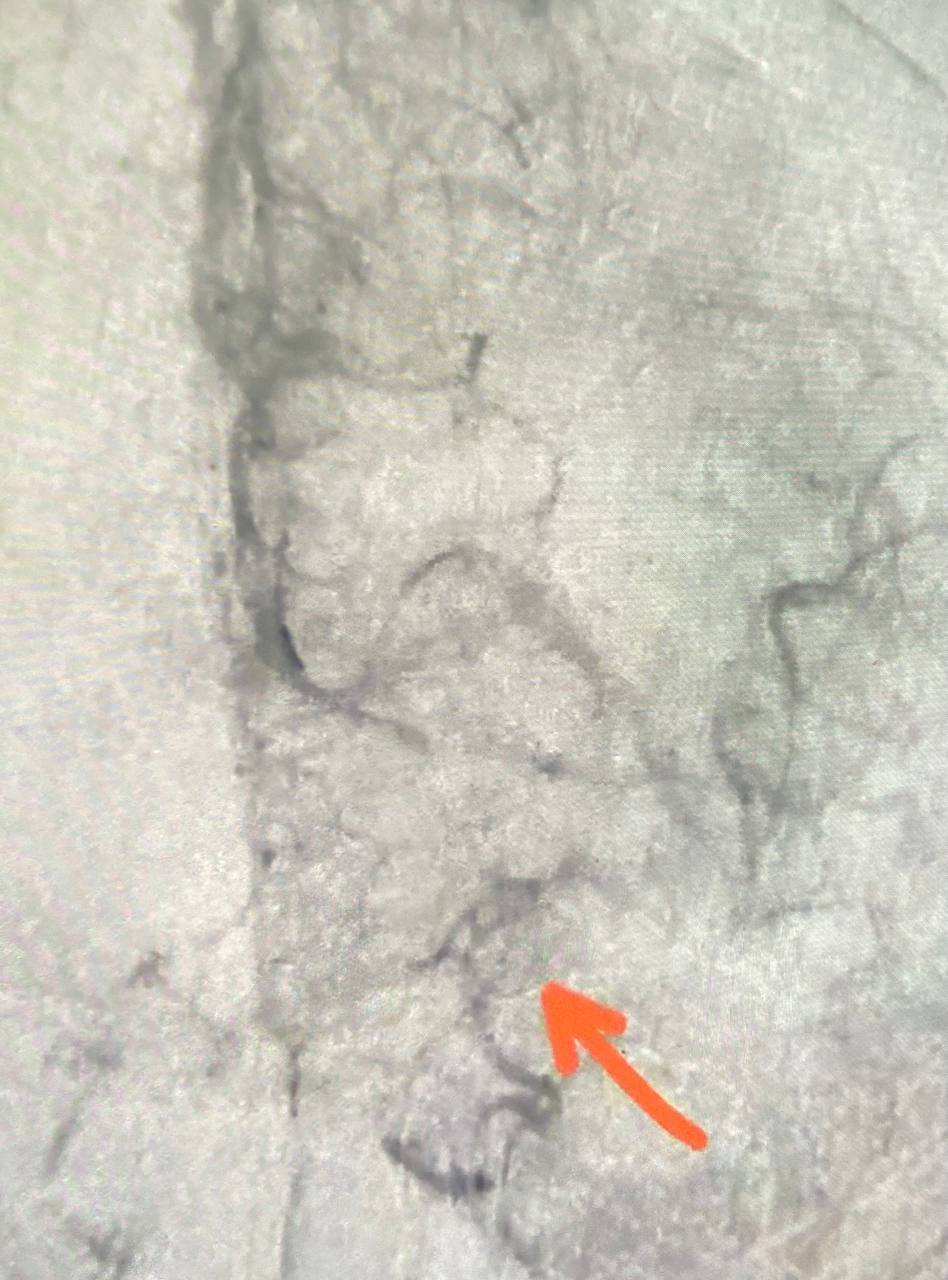
Врачи Областной клинической больницы провели тромболитическую терапию и удалили тромб из мозговой артерии (тромбэкстракция).
Уже на операционном столе пациентка начала реагировать на действия медиков - кивала головой на обращенную к ней речь, — рассказал врач-рентгенохирург отделения РХМДиЛ Александр Семенов.
Сейчас девушка продолжает лечение и проходит реабилитацию.
Медики напоминают: даже в молодом возрасте инсульт возможен. Среди факторов риска — прием гормональных контрацептивов и антифосфолипидный синдром.









































